Anterior Reconstruction


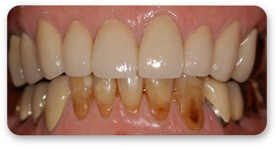
Providing an entire new smile by treating the front teeth is called “Anterior Reconstruction”  This is a professional gentlemen whose colleagues and spouse urged him to “get something done”.  He came to our office and we provide him with his improvement.  The patient only wanted his upper front teeth improved;  he declined all other dental work, so we were not able to correct neither the lower teeth nor the vertical aspects of his posterior occlusion.

These crowns are entirely ceramic;  no metal involved (compare that to his lower crowns).  The “Before” and “After” are not labeled, but you should be able to figure that out.

Denver, CO

720-772-1975